|
项目文章 | 甘野菊T-DNA转化体系及插入位点鉴定体系的建立时间:2022-10-11 16:43:59
近日,南京农业大学陈发棣教授团队在International journal of molecular sciences上在线发表了题为Development of a Transformation System and Locus Identifification Pipeline for T-DNA in Chrysanthemum seticuspe, A Model Species for Hexaploid Cultivated Chrysanthemum 的研究论文。南京农业大学园艺学院副教授宋爱萍为该论文的通讯作者。源宝生物为本研究提供了T-DNA检测服务!
一、研究背景 菊花是具有很高的审美和商业价值。然而,六倍体栽培菊花基因组高度杂合,这为菊花基因功能研究带来了困难。甘野菊Gojo-0作为菊属二倍体纯合子株系,有望成为菊属的模式植物。通过对Gojo-0转基因体系的建立和转基因植株的鉴定,有望为菊花基因功能研究奠定基础。 二、研究结果 01、在植物组织培养和发育过程中,植物生长调节剂对植物外植体不定芽的形成有很大影响,在9个不同6-BA和NAA浓度组合下,结果发现,不同的激素浓度组合中Gojo-0芽分化率有显著的差别(Figure1),在M1 (MS + 1.0 mg·L−1 6-BA + 0.2 mg·L−1 NAA)培养基中Gojo-0的诱导效果最好(Figure2)。
02、卡那霉素、湿霉素和草铵膦三种筛选剂对Gojo-0的叶盘再生均有抑制作用(Table1)。当培养基中卡那霉素浓度达到10 mg/L;潮霉素浓度达到2.5 mg/L;草铵膦浓度达到0.6 mg/L时Gojo-0不定芽出芽率为0(Figure3)。并且,卡那霉素、潮霉素和草铵膦对Gojo-0生根也有显著的抑制作用(Table2,Figure4)。在三种筛选剂中,潮霉素对Gojo-0的毒性最高,草铵膦其次,卡那霉素最低。
03、对转基因植株进行验证,通过PCR检测目的条带,显示5个抗性苗的扩增片段大小与质粒的扩增片段大小相同,阴性对照中没有扩增条带(Figure5B),对5个PCR验证阳性植株进行GUS染色,结果显示5个转基因株系的叶片被染成蓝色,以上结果表明目的基因成功转入Gojo-0植株中。
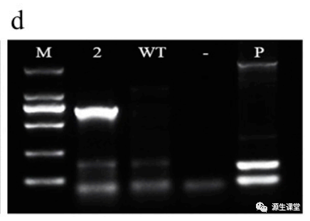
04、通过对转基因植株进行高通量测序、将数据Mapping到质粒左边界(LB)到右边界(RB)的区域,将相关reads进行组装后获取旁侧序列。通过与Gojo-0基因组比对,发现T-DNA插入到基因组的Cse2.0_LG3: 240,085,670位置,并且通过PCR对鉴定结果进行验证(Figure5D)
三、研究结论 通过建立菊属二倍体纯合植物Gojo-0的转基因体系,并且可以促进菊花基因编辑和种质资源的创新和发展,为菊花的种质改良奠定基础。另外转基因插入位点分析流程也可应用用于其他转基因植物的鉴定。 |









